Esthétique du sourire et dentisterie adhésive minimalement invasive
Inlay / Onlay / Overlay
Les bactéries contenus dans notre bouche consomment le sucre que nous ingérons et relarguent des acides. Ces acides, au contact de la surface des dents, provoquent une déminéralisation des cristaux constituant l’émail et la dentine ( plus communément appelée ivoire de la dent ) aboutissant à la formation d’une cavité : c’est ce que l’on appelle une carie dentaire. L’amalgame dentaire, plus communément appelé « plombage » a longtemps été considéré comme le matériau de choix pour le traitement des caries et le remplissage de ces cavités.
A partir du 1er janvier 2025, il est interdit à tout chirurgien dentiste d’utiliser des amalgames mercuriels.
Cependant, il est important au sein de cette rubrique d’exposer sommairement ses propriétés mécaniques et son comportement dans le milieu buccal afin de comprendre pourquoi certaines dents restaurées avec ce matériau auront besoin de traitement plus conservateurs.
L’amalgame dentaire est un matériau métallique rigide. Il a :
- Une résistance élevée à la compression, mais
- Une faible résistance à la traction et aucune élasticité.
Cela signifie qu’il ne peut pas absorber les forces de mastication de manière flexible, contrairement aux tissus dentaires naturels.
Pour placer une obturation en amalgame, le dentiste doit souvent :
- Créer une cavité en forme de rétention mécanique dans la dent.
- Cela nécessite l’enlèvement de plus de tissu dentaire sain que pour d’autres matériaux (comme les composites adhésifs).
Cela affaiblit la structure dentaire restante, la rendant plus vulnérable aux fractures.
L’amalgame a un coefficient de dilatation thermique plus élevé que celui de l’émail ou de la dentine :
- Il se dilate plus que la dent quand il fait chaud (boissons, aliments),
- Et se contracte plus quand il fait froid.
Ce stress thermique répété peut causer
- De microfissures dans la dent,
- Une expansion tardive de l’amalgame (notamment avec les vieux alliages à base de zinc exposés à l’humidité),
Menant parfois à une fracture des cuspides dentaires ( petits reliefs constituant la face masticatoires des dents)
Contrairement aux composites, l’amalgame ne colle pas aux tissus dentaires. Il est seulement maintenu mécaniquement dans la cavité.
Cela signifie que la dent et l’obturation agissent indépendamment sous les charges occlusales (masticatoires), ce qui augmente le risque de fissuration autour de la restauration.
Avec le temps :
- L’amalgame peut se corroder,
- Et sa marge d’adaptation avec la dent peut se détériorer.
Cela permet l’infiltration bactérienne, affaiblit les bords de la dent, et favorise les fractures soit partielles ( la dent sera conservable moyennant un soin ) soit totale de la dent ( la totalité de la dent, racine et couronne , doit être remplacée)
En résumé
| Facteur | Conséquence |
|---|---|
| Matériau rigide non adhésif | Concentration des forces sur les parois dentaires |
| Préparation cavitaire extensive | Affaiblissement mécanique de la dent |
| Expansion/contraction thermique | Formation de fissures internes |
| Corrosion/âge du matériau | Perte d’intégrité marginale |
Les inlays et overlays en céramique sont des restaurations dentaires indirectes, fabriquées en laboratoire, que l’on colle sur une dent pour restaurer sa forme, sa fonction et son esthétique. Leur utilisation repose sur des bases scientifiques, biologiques et mécaniques solides. Voici pourquoi on les utilise :
La céramique permet de mimer la dent naturelle, à la fois en termes :
- de forme (reconstruction anatomique précise),
- de teinte (propriétés optiques proches de l’émail),
- de comportement mécanique (rigidité et résistance similaires à celles des tissus dentaires durs).
Contrairement aux couronnes, les inlays/onlays permettent une préparation minimale, ce qui signifie :
- Moins de perte de tissu sain (émail et dentine),
- Préservation de la vitalité pulpaire,
- Favorise la dentisterie conservatrice.
- Le collage adhésif moderne (avec les résines composites et les systèmes de mordançage + silanisation) permet :
- Une adhésion solide entre la céramique, la dentine et l’émail,
- Une meilleure répartition des forces masticatoires,
- Une augmentation de la résistance à la fracture de la dent restaurée.
La céramique est :
- Biocompatible : pas de réaction inflammatoire ou allergique,
- Inerte chimiquement : elle ne se corrode pas,
- Résistante à l’usure : elle s’use peu dans le temps,
- Stable dans le temps : ne change pas de couleur, contrairement aux composites.
On utilise des inlays/onlays céramiques dans des cas comme :
- Cavités trop grandes pour une obturation en composite (risque de fracture),
- Restauration de dents postérieures très sollicitées (molaires et prémolaires),
- Remplacement d’anciennes obturations défectueuses,
- Traitement post-endodontique conservateur.
Comparé à :
- Le composite : la céramique résiste mieux à l’usure, à la compression, aux taches.
- La couronne : les inlays/onlays sont plus économes en tissus dentaires
- L’amalgame : la céramique est esthétique et non toxique (absence de mercure).
Nous réalisons des inlays/onlays en céramique pour combiner efficacité mécanique, esthétique, biocompatibilité et conservation tissulaire, avec des techniques de collage modernes qui transforment ces restaurations en extensions fonctionnelles et durables de la dent naturelle.
Éclaircissement
Le principe de l’éclaircissement dentaire (ou blanchiment dentaire) repose sur des réactions chimiques bien connues en chimie organique et en biologie, en particulier l’oxydation des molécules colorées présentes dans l’émail et la dentine. Voici une explication détaillée et scientifique :
En préambule, il est important de préciser que l’éclaircissement dentaire n’abime pas les dents, que les produits utilisés répondent aux normes Européennes et sont agréés pas la Haute Autorité de Santé
Les dents sont constituées de plusieurs couches :
- Émail : couche externe, très minéralisée (environ 96 % d’hydroxyapatite).
- Dentine : couche sous-jacente, plus poreuse et plus organique (environ 70 % minéral).
- Pulpe : centre vital contenant les nerfs et les vaisseaux.
Les colorations dentaires peuvent être :
- Extrinsèques : dues à l’accumulation de pigments à la surface de l’émail (café, thé, vin, tabac).
- Intrinsèques : présentes dans la dentine ou incorporées dans l’émail (tétracyclines, fluorose, vieillissement).
Les produits utilisés sont à base :
- De peroxyde d’hydrogène (H₂O₂) : utilisé directement ou
- De peroxyde de carbamide (CH₆N₂O₃) : qui se décompose en peroxyde d’hydrogène et urée.
Le peroxyde libère des radicaux libres très réactifs, comme les radicaux hydroxyle (•OH) ou radicaux perhydroxyle (HO₂•), capables de :
- Pénétrer l’émail et la dentine.
- Casser les liaisons chimiques des molécules colorées (chromophores).
- Modifier ou détruire ces chromophores, les rendant incolores ou moins colorés.
Certains traitements incluent :
- Chaleur
- Lumière (LED, laser)
- Agents chimiques activateurs
Ils visent à accélérer la décomposition du peroxyde pour augmenter la production de radicaux libres, mais leur efficacité est sujette à débat dans la littérature scientifique.
Les résultats dépendent de la concentration du peroxyde (3 % à 40 %) et de la durée d’exposition.
- Les résultats ne sont pas permanents et durent au moins 5-7 ans : une recoloration progressive est possible (alimentation, âge, etc.).
Les effets secondaires potentiels sont rares et réversibles :
- Sensibilité dentaire temporaire et réversible après espacement du temps d’application
- Irritation gingivale temporaire et réversible si le produit touche les tissus mous.
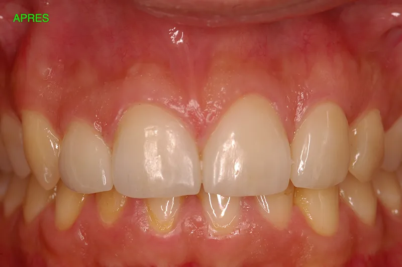
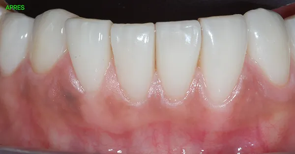
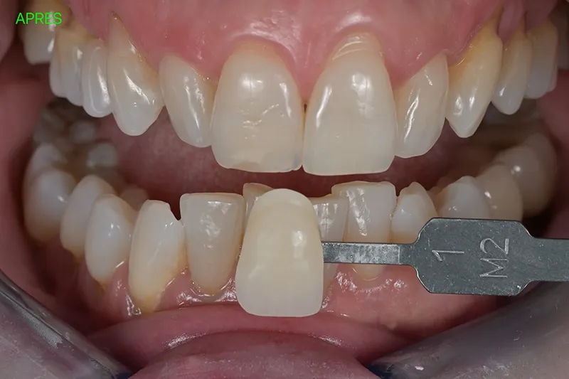
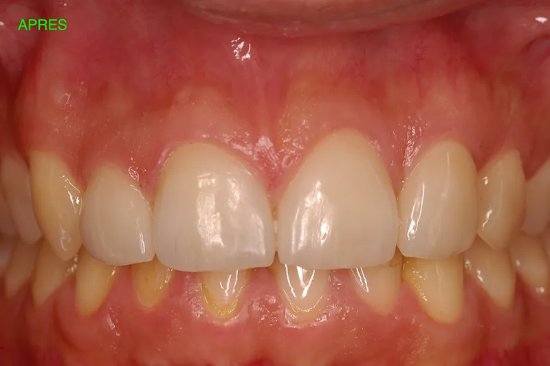
Les Facettes Dentaires
es facettes dentaires sont de fines pellicules, généralement en céramique ou en composite, que le dentiste colle sur la face visible des dents. Leur but est d’améliorer l’esthétique du sourire tout en conservant la structure naturelle de la dent.
Elles sont souvent comparées à des « lentilles de contact dentaires » : discrètes, lumineuses et personnalisées pour s’intégrer parfaitement à la bouche du patient.
D’un point de vue scientifique, la facette agit comme une surface de recouvrement adhésive qui modifie la forme, la couleur et parfois la position optique de la dent. C’est une solution de dentisterie esthétique qui allie biomatériaux de pointe et techniques adhésives avancées.
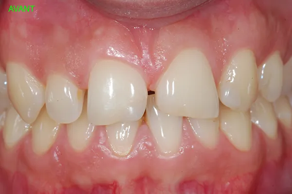
Les facettes sont indiquées pour corriger un large éventail de défauts esthétiques, notamment :
- Les dents tachées ou décolorées (résistantes au blanchiment classique) ;
- Les dents ébréchées, usées ou fracturées ;
- Les espaces interdentaires (diastèmes) ;
- Les dents légèrement mal alignées ou de taille inégale ;
- Les imperfections de forme (trop petites, trop pointues, etc.).
Elles offrent une alternative conservatrice aux couronnes dentaires, car elles nécessitent souvent moins de préparation et préservent davantage la structure dentaire naturelle.
Deux grands types de facettes existent :
Facettes en céramique (porcelaine)
- Matériau le plus utilisé aujourd’hui pour son rendu très naturel et durable ;
- Résistance exceptionnelle à la coloration (ne jaunit pas avec le temps) ;
- Transmission lumineuse proche de celle de l’émail naturel ;
- Durée de vie moyenne : 10 à 20 ans selon les soins et les habitudes du patient.
Facettes en composite
- Réalisées directement au fauteuil ou en laboratoire ;
- Moins coûteuses et plus rapides à poser ;
- Rendu esthétique correct mais légèrement inférieur à la céramique ;
- Durée de vie moyenne : 5 à 7 ans.
Le choix du matériau dépend de plusieurs critères :
l’état de la dent, le budget, les attentes esthétiques et le mode de vie du patient.
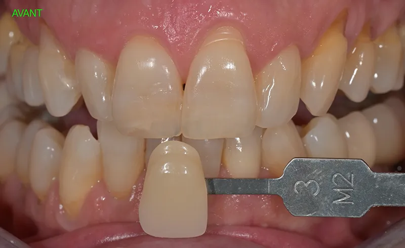
La pose d’une facette se déroule généralement en plusieurs étapes :
> Le rendez vous de consultation et de planification
Le dentiste réalise un bilan esthétique et fonctionnel complet : photographies, empreintes, simulation numérique (mock-up) et étude du sourire.
Cette phase permet d’anticiper le résultat et de choisir la teinte, la forme et la taille idéales.
> La séance de pose du mock up
Cette étape du traitement permet d’installer sur les dents non préparées le mock up : c’est une phase importante car elle permet au patient d’avoir une pré visualisation du résultat final à partir d’un projet esthétique conçu soit artisanalement soit numériquement au laboratoire de prothèse.
Ce mock up est modifié à la demande du patient qui se l’approprie durant quelques semaines jusqu’à obtention du résultat souhaité.
En outre et puisque les dents ne sont pas instrumentées à ce stade, cette étape est totalement réversible.
> La séance de préparation dentaire
Selon la technique utilisée, le praticien peut préparer légèrement la surface de la dent (de 0,1 à 0,5 mm) afin d’assurer une bonne adhérence et une épaisseur uniforme de la facette.
Certaines techniques modernes permettent même une pose sans taille (facettes « no-prep ») si les conditions sont favorables.
> Prise d’empreinte et fabrication au laboratoire de prothèse
L’empreinte numérique ou physique est envoyée au laboratoire de prothèse, où un prothésiste spécialisé fabrique les facettes sur mesure à l’aide de technologies CAD/CAM ou de press-céramique.
> Pose et collage
Une fois les facettes prêtes, le dentiste les essaye pour vérifier l’esthétique et l’occlusion.
Après validation, elles sont collées à l’aide de résines adhésives et de techniques photopolymérisées assurant une fixation solide et durable.
Le collage est une étape clé, car il conditionne la longévité mécanique et esthétique du traitement.
Les avantages des facettes dentaires
- 🌿 Résultat naturel et harmonieux : la lumière se reflète comme sur une dent vivante ;
- 💎 Durabilité : surtout avec la céramique, très résistante à l’usure et aux taches ;
- 🦷 Préservation tissulaire : technique peu invasive comparée à une couronne ;
- 😁 Confiance et confort : améliore l’image de soi et la phonétique ;
- ⏱️ Résultats rapides : transformation complète du sourire en quelques semaines.
Même si les facettes offrent un excellent compromis entre esthétique et biologie, elles ne sont pas adaptées à tous les cas.
Elles sont contre-indiquées si :
- Les dents sont très abîmées ou présentent de larges restaurations ;
- Le patient souffre de bruxisme sévère (grincement des dents) ;
- Il existe une mauvaise hygiène bucco-dentaire ou des caries non traitées.
De plus, le résultat est définitif : une fois la dent préparée, il faut toujours maintenir une restauration.
Enfin, il est essentiel d’éviter certaines habitudes : ronger ses ongles, croquer des objets durs, ou ouvrir des emballages avec les dents.
Les facettes demandent le même entretien qu’une dent naturelle :
- Brossage doux, deux fois par jour, avec une brosse souple ;
- Utilisation du fil ou brossettes interdentaires ;
- Visites de contrôle régulières chez le dentiste (tous les 6 à 12 mois) ;
- Éviter les excès de café, thé ou tabac (surtout pour les facettes en composite).
Une bonne hygiène et un suivi professionnel garantissent la beauté et la longévité du sourire.
Le prix d’une facette dépend du matériau et de la technique utilisée.
Bien que le coût initial soit élevé, il faut le considérer comme un investissement esthétique et fonctionnel durable, souvent amorti sur plus d’une décennie.
La dentisterie esthétique progresse rapidement :
- Les facettes ultrafines (≤ 0,2 mm) permettent des poses sans préparation ;
- Les empreintes numériques remplacent la pâte d’empreinte traditionnelle ;
- Les céramiques nanotechnologiques offrent une résistance accrue et une translucidité parfaite ;
- Les simulations 3D interactives permettent de visualiser le résultat avant même de commencer le traitement.
Ces avancées rendent la procédure plus confortable, plus précise et plus prédictible.
Les facettes dentaires représentent l’alliance idéale entre science, esthétique et précision.
Elles permettent de transformer un sourire sans chirurgie lourde ni mutilation dentaire excessive.
Grâce à la qualité des matériaux modernes et à l’expertise des chirurgiens-dentistes, le résultat peut être à la fois naturel, stable et personnalisé.
En résumé, les facettes dentaires ne sont pas seulement un acte esthétique, mais un traitement fonctionnel et psychologique, redonnant confiance et éclat à chaque sourire
